PRT

 
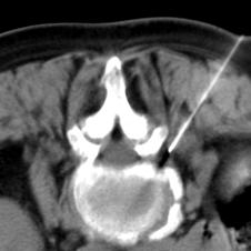
Die Periradikuläre Therapie ist die perkutane Infiltration von Medikamenten lokal an eine Nervenwurzel bei nachgewiesenen Verschleißerscheinung der Wirbelsäule.                                                                                       Unter Röntgendurchleuchtung oder Computertomographie wird gezielt die Schmerz verursachende Nervenwurzel mit einem speziellen Medikament behandelt.                                                                                             Die Anwendung erfolgt überwiegend bei ausstrahlenden Schmerzen ins Bein, bei Bandscheibenvorfällen und Schmerzzuständen nach Bandscheibenoperationen.